Epitheliod Hemangio-endothelioma 

This condition is a rare cancer from cells that make up the blood vessels.

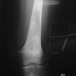
12A)Plain Radiograph Of Epithelioid Hemangioendothelioma Of Femu (1)
Screen Shot 2022 08 19 At 11.26.50 AM

What is an Epithelioid Hemangioendothelioma?

Who is usually affected?
Who is usually affected?
  • • Usually in ages 30-50 years old yet also occurs in younger and older people.
  • • Very rare with 1 in 1 million people diagnosed worldwide.
Causes
Causes
  • • There is thought to be a genetic mutation involved in developing this condition. This is called a chromosomal translocation mutation.
Signs and Symptoms
Signs and Symptoms
  • • Signs and symptoms include discomfort, pain, nausea, cough, trouble breathing, fever, swelling, weight loss, skin lumps or bumps and broken bones.
Common Sites Involved
Common Sites Involved
  • • Most common sites are liver, lungs and bone.

 

Biological Behavior
Biological Behavior
  • • The biological behavior of EHE is diverse greatly between indolent and aggressively malignant.

 

 

 

 

 

 

Diagnosis
Diagnosis
  • • This condition is hard to diagnose.
  • •The work-up often consists of a physical examination, X-rays, CT scans, MRI, and sometimes bone scans are required. CT scans can be used to check for subtle mineralization that may help with the diagnosis
  • • CT of the chest is necessary to check for pulmonary metastases. The lungs and other bones are the to most common sites for the tumor to spread.
  • • The diagnosis is often confirmed with a biopsy, which means taking a sample of tumor and having it analyzed under a microscope by a pathologist.

Risk to your limbs

Epithelioid Hemangioendothelioma are cancerous aggressive tumors that, if left unchecked, will grow and destroy your normal bone. As the tumor slowly grows, the bone is weakened and you are at an increased risk of breaking the bone due to the tumor (called a pathological fracture). They may also spread to your lungs or other bones.

Radiographic imaging is used to help form a diagnosis. These include X-Ray, MRI, CT and Bone Scans

An example of an X-Ray is shown.

Treatment of Epithelioid Hemangioendothelioma

This condition is very rare and thus there is no standard of treatment. Treatment is very individualized depending on where it is in the body and if it has spread. Treatments are surgery, chemotherapy, radiation, targeted therapy, immunotherapy and embolization.

Intralesional Curettage
Intralesional Curettage

Intralesional Curettage means to scoop the tumor out using a spoon-like tool called a curette. This is a surgery that aims to remove the mass and restore the bone so that the patient can get back to normal function. The ABC is identified within the bone and scooped, or curetted, out. The cavity is then shaved down with a Midas Rex Drill, which is similar to a dental drill. This drill removes more tumor cells.

Bone Grafting and Fixation
Bone Grafting and Fixation

The empty bone cavity is usually filled with bone graft or bone cement. Bone can be donated (allograft) or taken from the patient themselves (autograft). Fixation devices, such as a plate and screws, may be used in specific situations to prevent postoperative fracture. This example of an X-ray shows the bone graft filled in nicely. It looks particulate. In this case, the patient was placed in a cast to protect from fracture and allow the graft to heal.

I've seen many doctors and I can confidently attest Dr. Wittig is the preeminent orthopaedic specialist. He is genuinely kind and caring, as he demonstrated by completely addressing my concerns and compassionately relating to what I was dealing with. He clearly outlined the plan of attack, and recommended the two additional doctors who would become part of my 'team'. Dr. Wittig was so effective in allaying our fears and bringing us optimism. My surgery was significant, but I was up and walking the next day and back at the gym 5 weeks later. This is further testament to Dr. Wittig's skill. He saved my leg and my life, and I feel so very blessed to say he is my doctor. I have already recommended him to others, and I will continue to do so. I would trust him with my closest family and lifelong friends. BEST DOCTOR EVER.

S.G.

Img16516

Hey! I am Dr. Wittig.

Myself and my amazing team are dedicated to saving your life and your limb. Losing a limb because of a tumor can be a terrifying experience. But, it does not have to be the only option. I’ve spent 20+ years as a Board-Certified Orthopedic Surgeon and Orthopedic Oncologist.

I’ve devoted my career to helping children and adults afflicted with bone and soft tissue masses by performing complex limb saving surgeries. Most patients can have their limb saved, which may require innovative techniques.

Patients afflicted with musculoskeletal tumors have complex conditions that are best taken care of at large hospitals. I am the Chairman of Orthopedics and Chief of Orthopedic Oncology at Morristown Medical Center. My philosophy is a multidisciplinary team approach, working together to tailor treatment to individual patients. Education and research are essential to my practice, providing the best setting for extraordinary patient care. Because of this, we have some of the top results in the country.